半口牙缺失给生活带来了很大的麻烦,不仅影响牙齿咀嚼功能,还非常影响颜值,让生活失去自信心,那么半口牙缺失怎么办?种植牙技术让半口牙缺失的朋友恢复如初,重现牙齿的自然美观形态。

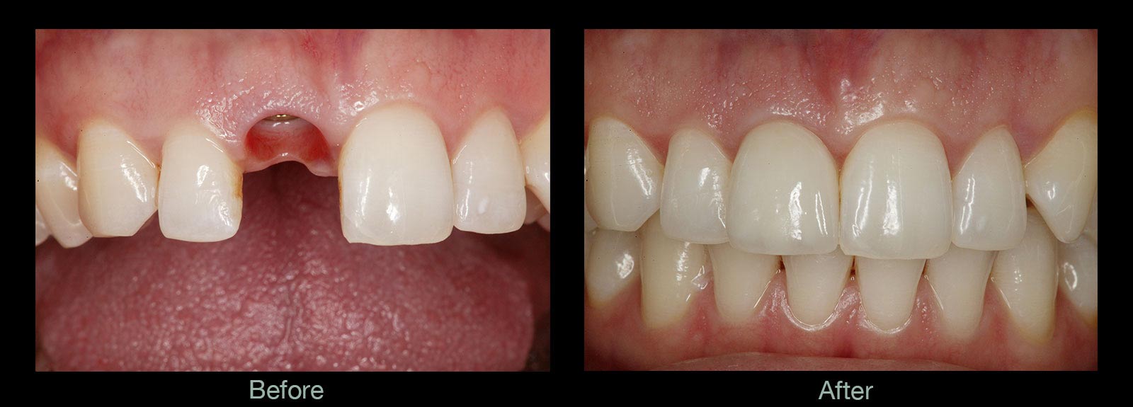
种植牙前后对比
种植牙给半口牙缺失患者希望
穗华口腔专家告诉大家说,如果是半口牙缺失,也可以采用种植牙治疗,不仅能恢复口腔功能,还能是牙齿美观大方。半口缺失的患者经牙槽外科手术植入牙槽骨后,因其牙根采用的是生理相容性极强的钛金属,种植体与周围骨组织发生骨结合后,就具有很强的固位和稳定性,可以像真牙一样长在口腔内,逼真地模仿了人类的天然牙。
技术介绍:3D靶向种植牙技术,是暨南大学多位种植名家多年积累的义齿修复技术和经验,与一系列国际前沿齿科设备结合的产物,应用意大利NewTom曲面断层扫描CBCT技术、德国WIELAND CAD/CAM计算机辅助设计与制作技术、美国Ambulanc笑气镇静镇痛系统、丹麦3shape 3D打印技术及3shape TRIOS激光扫描重建技术等,从5个方面打造穗华种植牙“40年预期留存率”超过90%的“长寿基因”!
友情提醒:牙齿种植是一项成熟的治疗技术,已经有无数患者通过种植牙齿获得新生。如果你在阅读文章时碰到不清楚的地方,欢迎点击在线咨询与我们专家进行一对一的交流,还可以拔打全国免费热线:020—62266666。您还可以在线挂号,为您节省宝贵的时间。