在现代牙齿整齐美观是一种生活态度,也是一种对美的追求,但牙齿拥挤在人群中却占有多数,牙齿拥挤是常见的错合畸形,表现为牙齿拥挤错位排列不齐;而拥挤牙齿的龋齿率及牙周病发生率均较正常排列牙齿高。那么造成牙齿拥挤的原因是什么呢?今天就让穗华口腔专家来为各位讲解牙列拥挤的形成原因。

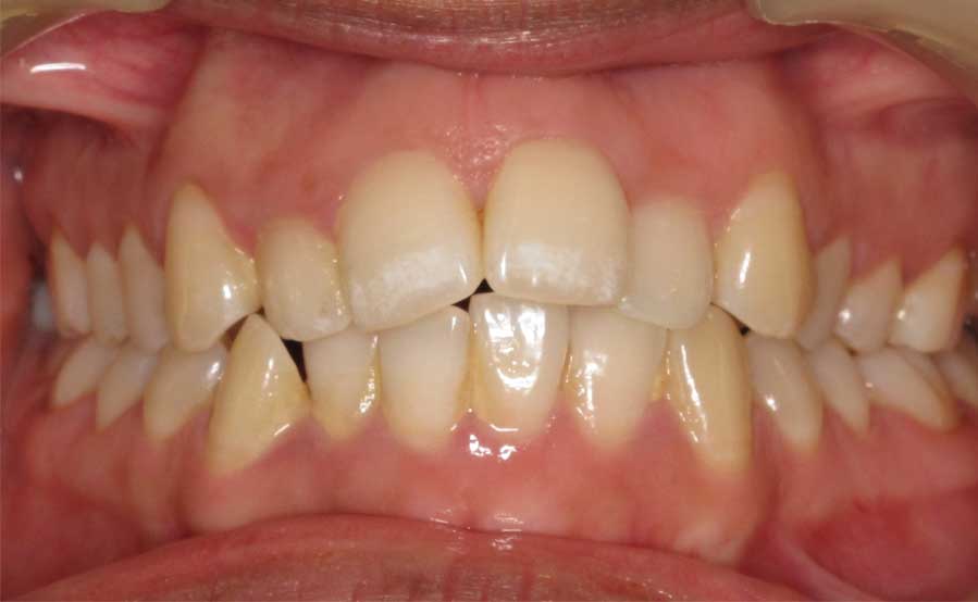
牙齿拥挤
穗华专家指出牙齿拥挤的以下几点原因:
一、颌骨发育不足:颌骨发育不足造成大量骨量不调,牙齿不能整齐排列在齿槽内,而拥挤错位。
二、替牙期故障:替牙期的故障是造成牙列拥挤的常见病因,如因乳牙早失,造成邻牙前移占据缺牙隙而造成恒牙萌出时间间隙不足而错位。另如乳牙滞留,可造成相继恒牙萌出错位。
三、不良习惯:一些口腔不良习惯如儿童的吮指、口呼吸等,可造成牙弓狭窄或影响颌骨发育,而致牙齿排列拥挤。
四、牙齿过大:由于牙齿近远中宽度过大,可造成牙齿排列拥挤错位。
五、遗传因素:牙列拥挤具有明显的遗传特征,从个别牙的拥挤错位或多数牙的拥挤,甚至某一个牙的扭转程度,都可以在亲代和子代上有相同的表现。这种遗传特征是客观存在的,但是对于其详细的遗传机理至今还不十分清楚。
脸部是每一个人的门面,为了自己的门面美观。患有牙齿拥挤的患者要尽早就医。穗华口腔拥有资深的医生和贴心的服务,让您能享受到宾至如归的医疗体验。
客户满意是穗华人永远的旗帜,在穗华,您可以享受整洁、明亮的单人独立诊室 ;在穗华,您可以阅览杂志 、免费上网、享受免费水果零食。这里没有拥挤、没有等待、没有医疗恐惧感。
在穗华,微笑贴心的护士为客户创造一个良好的治疗和康复环境,她们总是做到急客户之所急,想客户之所想!客户经常这样一句评价:像对待自己家人一般。保持亲和力是穗华的必修功课,在这里多的是温情,少的是冷漠!
小编提醒:穗华口腔为广大患者提供免费在线咨询服务,如果您有任何关于口腔方面的问题,都可以点击在线咨询和穗华口腔的专家进行一对一的交流,让穗华口腔的专家为您排忧解难。