牙齿拥挤是很多人都会出现的一种口腔情况,不但对容貌产生不良影响,也对身体健康产生不良影响,那么它到底有哪些不良影响呢?下面请穗华口腔专家来为我们介绍。

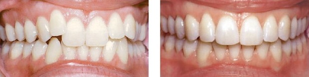
牙齿拥挤矫正前后对比
穗华口腔专家介绍:牙齿拥挤是畸形牙的一种,患者朋友需要及时发现,尽早治疗,否则会带来严重的影响。
1、牙齿拥挤影响牙齿清洁,减弱牙齿的自洁作用。尤其是食用过食物后会残留食物残渣,牙齿更容易形成软垢、茵斑和牙石,继而给牙齿带来一系列的伤病。
2、牙齿拥挤影响发育:某些牙齿排列不齐,会妨碍上下牙弓颌骨的正常发育,使畸形愈来愈严重,极易使患者造成面部中央凹陷畸形,容易形成“地包天”。
3、牙齿拥挤影响上下颌牙齿之间的咬合关系,进而影响正常的咀嚼功能,降低咀嚼效率,久而久之,可能因此而引起消化不良和胃肠功能的紊乱。
4、牙齿拥挤易患牙病,牙齿拥挤,牙齿排列不整齐,在进行口腔清洁的过程中,十分不容易刷干净,牙垢常堆积在牙缝中,形成细菌滋生繁殖的理想场所,使牙齿容易发生龋齿,牙龈也很容易发炎。
牙齿拥挤危害不容忽视,如果患有牙齿拥挤等症状,要及时到专业的口腔医疗机构接受治疗。穗华口腔引进的隐适美矫正技术已经为成千上万的患者找回健康,无数患者共同见证其优质疗效。隐适美隐形矫正技术,来自美国的进口"隐形牙箍",不用钢丝、不用托槽,丝毫不影响美观,可自行摘带,让患者在不知不觉中恢复正常颌面形态。
穗华口腔医院是您爱牙的放心之选
穗华口腔医院是拥有人文底蕴的暨南大学附属口腔医院临床教学医院,是广东省卫生厅批准成立的口腔专科医院,是集口腔诊疗、教学和科研为一体的现代化口腔综合医院,是您看牙的放心信赖之选!如果您还有其他疑问或需要帮助,还可以点击在线咨询,或者拔打免费电话:020—62266666。百度100遍,不如咨询1次。