牙齿拥挤是常见的错合畸形,表现为牙齿拥挤错位排列不齐;而拥挤牙齿的龋及牙周病发生率均较正常牙齿高,而且牙齿拥挤十分明显地影响外观,严重者可造成口唇闭合困难,形成开唇露齿。那么牙齿拥挤要怎么修复呢?下面让穗华口腔的专家来为我们讲解。

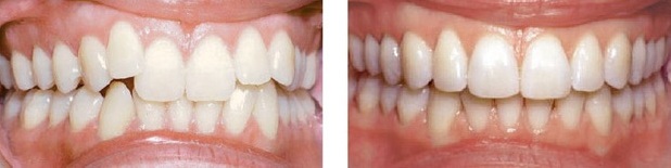
牙齿矫正前后对比
穗华口腔专家指出:牙齿拥挤症状具有明显的遗传特征,从个别牙的拥挤错位或多数牙的拥挤,甚至某一个牙的扭转程度,都可以在亲代和子代上有相同的表现。这种遗传特征是客观存在的,但是对于其详细的遗传机理至今还不十分清楚。另外颌骨发育不足颌骨发育不足造成大量骨量不调,牙齿不能整齐排列在齿槽内,而拥挤错位。
牙齿拥挤是比较常见的口腔疾病,矫正的方法不会十分复杂。穗华口腔的eBrace舌侧隐形矫正技术适用于不同年龄的患者,深受患者欢迎。
eBrace舌侧隐形矫正技术是由我院正畸名家孔卫东博士领衔的医疗团队发明的牙齿矫正技术。区别于传统的唇侧矫治技术,eBrace(易美)?将矫正器全部藏在牙齿的背面,能让您在旁人毫无察觉中完成牙齿矫正。
1、技术先进。采用计算机辅助设计制造CAD/CAM和数字投影快速成型DLP等先进技术。
2、完全隐形。托槽在牙齿背面,既保护了隐私,因无遮挡,也便于医生观察牙齿移动情况。
3、避免口腔损伤。避免唇侧牙釉质受酸蚀剂作用脱钙;避免运动中矫正器对唇部的损伤。
4、量齿定做。根据牙齿终理想状态而设计的各阶段的个性化弓丝和托槽。
牙齿拥挤会危害健康,人体是一个整体,任何一部分出现问题都可能影响您的全身健康。为了您和家人的健康,请到专业的口腔医疗机构就医。
穗华口腔医院是您爱牙的放心之选
穗华口腔医院是拥有人文底蕴的暨南大学附属口腔医院临床教学医院,是广东省卫生厅批准成立的口腔专科医院,是集口腔诊疗、教学和科研为一体的现代化口腔综合医院,是您看牙的放心信赖之选!如果您还有其他疑问或需要帮助,还可以点击在线咨询,或者拔打免费热线:020—62266666。百度100遍,不如咨询1次。