孩子因为在后天有很多不良的口腔习惯,如伸舌、咬唇等等,这些习惯都可能导致儿童地包天的形成,地包天是牙齿畸形的一种,不仅影响牙齿正常功能,也影响着患者的美观,那儿童地包天如何治疗好呢?我们来看看广州穗华口腔的专家是怎么说的。

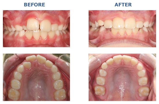
儿童地包天矫正前后对比
小儿“地包天” 3至4岁时是佳矫形期
三岁以下的患儿年龄过小,无法配合医生制作和佩戴矫治器,而三岁以上的患儿已具备一定的自我支配能力,所以医生一般主张从四岁开始治疗反牙合。乳牙期或乳恒牙交替期个别牙齿轻度反牙合,可以在医生指导下使用活动矫治器进行治疗,多个牙反牙合或畸形较严重时,则需要正畸医生用固定矫正器进行矫治。同时由于多数反牙合具有遗传性、复发性的特点,部分患儿乳牙反牙合矫正后,恒牙萌出后可能会再次发生反牙合,须再次矫治,因此保持矫治至成年是巩固疗效、彻底治愈反牙合的有效途径。
如果替牙期反颌没有及时矫正,到恒牙期矫正一般是在12岁以后,则需用较复杂的矫治器,矫治难度大、时间长,费用较高,且面型改善不明显,严重者须采取正颌外科手术才能矫正。
青春期后治疗地包天需要通过正颌手术
成人的“地包天”需要通过正颌手术进行矫正,就是将突出来的下颌骨截去一段,然后再往后退。截骨后用钛钉固定,如果不发生排斥反应,钉子一般不再取出。目前,正颌外科技术已相当成熟,所有的手术切口均在口内完成。手术过程并不难,但要完全矫正畸形,需要在做正颌手术之前做正畸,也就是箍牙,先把错乱的牙齿重新排列整形,等做完了手术,上下咬合关系才能正常,否则做了手术牙齿也咬合不上了。
这类手术绝大部分是在骨发育成熟后才进行骨骼矫正,女孩在16-17岁以后,男孩在17-18岁以后,颌骨才发育完全,少部分病人(如半侧颜面发育不足等)可早些进行手术干预治疗。
穗华口腔是您爱牙的放心之选
穗华口腔医院是拥有人文底蕴的暨南大学附属口腔医院临床教学医院,是广东省卫生厅批准成立的口腔专科医院,是集口腔诊疗、教学和科研为一体的现代化口腔综合医院,承诺永远以顾客的牙齿健康为首要因素,确保给顾客高性价比的口腔治疗,如果您还有什么问题或需要帮助,可在线咨询或拨打热线:020-62266666,将您的问题告诉在线医生,专家将耐心为您分析解答,“百度100遍,不如咨询一次”。