龅牙严重影响孩子的身体和心理健康,广州穗华口腔专家指出:引起儿童龅牙的原因主要是与先天原因、后天因素有关。我们经常会听到一个词——虎牙,其实这就是龅牙的表现,而且龅牙对于处在儿童时期是很明显,那么造成儿童龅牙的原因是什么?

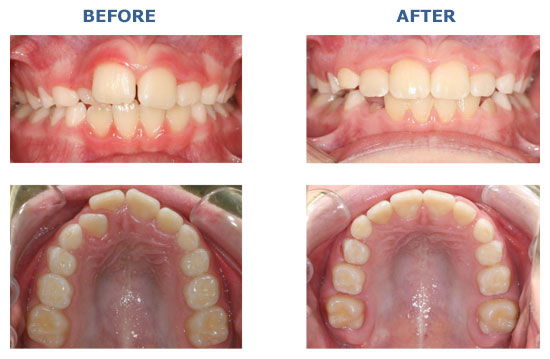
龅牙矫正前后对比
广州穗华口腔专家解答:儿童出现龅牙的时候,很可能是因为与先天、后天的因素造成的,详细情况如下:
1、后天因素造成龅牙:儿童都是很贪玩的,但由于儿童在换牙的期间,很可能是因为口腔的不良习惯导致龅牙的出现。比如吮拇指、舔上前牙等,这都是后天因素造成龅牙的。
2、先天原因造成龅牙:家庭中儿童的家长同样也是出现过龅牙的现象,并且还没能进行治疗,从而影响儿童患有龅牙,但对于龅牙时在前期的时候是不明显,而随着年龄的增长突显也就明显了。
温馨提示:以上就是“造成儿童龅牙的原因是什么”,但不管先天、后天因素。家长一定要选择专业的牙科医院为儿童进行矫正治疗。避免了由于年龄的原因造成矫正的难度加大。
穗华口腔引进了隐适美隐形矫正技术。不仅拥有极强的隐形效果。同时在治疗后拥有良好的美观、舒适度,并且只要半年时间左右矫正就可完成,而且对于学业不会受到任何影响,还请广大家长放心。
穗华口腔是您爱牙的放心之选
穗华口腔医院是拥有人文底蕴的暨南大学附属口腔医院临床教学医院,是广东省卫生厅批准成立的口腔专科医院,是集口腔诊疗、教学和科研为一体的现代化口腔综合医院,承诺永远以顾客的牙齿健康为首要因素,确保给顾客高性价比的口腔治疗,如果您还有什么问题或需要帮助,可在线咨询或拨打热线:020-62266666,将您的问题告诉在线医生,专家将耐心为您分析解答,“百度100遍,不如咨询一次”。