看到明星一口整齐靓丽的牙齿,是否羡慕不已。随着现代医疗技术的进步,牙齿不齐通过矫正可以重塑牙齿的整齐美观,那么牙齿不齐怎么矫正?患者可以根据自身的需求,选择适合自己的矫正方法。下文我们来听听穗华口腔专家的分析。

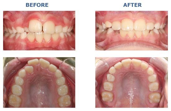
龅牙矫正前后对比
矫正方法一:带普通牙套
这种方法是很早之前的方法,局限性很大。治疗的好阶段为11-14岁之间,成人也可以使用。但是对本身牙齿的质量要求很高,而且还必须有恒心,能坚持,配合度高。而且需要一到两年的时间方可矫正牙齿,对于青少年而言,应该还是不错的选择。
矫正方法二:自锁托槽矫正技术
牙齿不整齐怎么矫正,优点是可以大大降低钢丝与托槽之间的摩擦阻力。不需要传统的不锈钢结扎丝或弹力橡胶圈,不但免去了结扎所直接产生的疼痛与不适,从而减少了患者在整个治疗过程当中的疼痛和不适。
矫正方法三:隐形正畸术
牙齿不整齐怎么矫正,在隐形美观方面,隐形陶瓷正畸的托槽片使用了跟牙齿色系相似的陶瓷托槽,因此从外观上可“看不到”托槽装置,让人们在正常的学习、工作中悄然完成牙齿正畸。
穗华口腔是您爱牙的放心之选
穗华口腔医院是拥有人文底蕴的暨南大学附属口腔医院临床教学医院,是广东省卫生厅批准成立的口腔专科医院,是集口腔诊疗、教学和科研为一体的现代化口腔综合医院,承诺永远以顾客的牙齿健康为首要因素,确保给顾客高性价比的口腔治疗,如果您还有什么问题或需要帮助,可在线咨询或拨打热线:020-62266666,将您的问题告诉在线医生,专家将耐心为您分析解答,“百度100遍,不如咨询一次”。