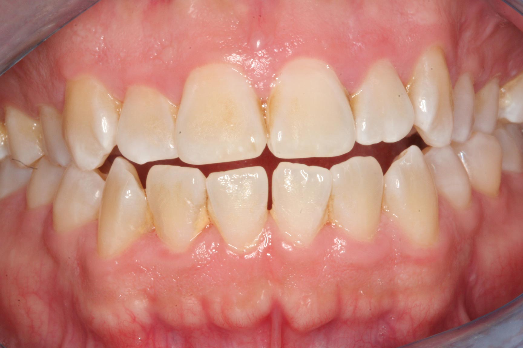
牙周病的主要症状是牙龈出血,牙龈红肿,疼痛,严重时牙龈溢脓,咀嚼无力,牙齿逐渐松动甚至脱落,分布在牙周组织上的细菌及其产生的毒素则是牙周组织遭到破坏的重要原因。

牙周病
牙周病,根据疾病侵犯的部位分为两大类:牙龈炎和牙周炎。牙周病对于多数人来说,它的病因主要是口腔卫生不良,牙齿周围堆积了大量的菌斑、牙石,这为细菌的聚集与繁殖提供了有利条件。下面我们来听穗华口腔专家的介绍。
穗华口腔专家介绍:虽然牙周病对人的健康有严重危害,但还是可防可治的。牙周病的主要致病因素是牙菌斑,平时我们要做到持之以恒、较彻底地清除牙菌斑,这对预防牙周病的发生能起到积极作用。
首先,要掌握正确的刷牙方法、养成良好的刷牙习惯。做到早晚刷牙,饭后漱口。
其次,掌握牙线、牙间刷等工具清理牙缝菌斑的使用方法。正确的刷牙只能清除牙齿表面菌斑。而对于藏匿于牙齿间的菌斑,必须使用特殊的工具。
再有,要养成定期洁齿的习惯。如果牙石一旦在口腔中形成,靠刷牙很难去除,必须到正规医院进行洗牙,一般每半年到一年清理一次。
另外,除了控制菌斑,我们还应该注意去除一些牙周病发病的危险因素。如养成不吸烟的习惯;定期检查口腔疾病发病情况,尽早治疗或消除容易引起牙周病的危险 因素。对于已经患了牙周病的患者,一定要及时、适当地治疗,以控制病情,同时,采用各种方法修复缺牙,恢复咀嚼功能和口腔健康。牙周病的治疗周期相对较长,而且,由于影响牙周病的发病和治疗的因素很多,口腔又是一个有菌的环境,患牙经过治疗后,仍然时时面临细菌的威胁。所以,患者经过治疗后,除了平时注意保持口腔卫生外,一定要定期进行复查,根据病情控制的好坏而及早采取相应的治疗措施。
穗华口腔是您爱牙的放心之选
穗华口腔医院是拥有人文底蕴的暨南大学附属口腔医院临床教学医院,是广东省卫生厅批准成立的口腔专科医院,是集口腔诊疗、教学和科研为一体的现代化口腔综合医院,承诺永远以顾客的牙齿健康为必要因素,确保给顾客高性价比的口腔治疗,如果您还有什么问题或需要帮助,可在线咨询或拨打热线:020-62266666,将您的问题告诉在线医生,专家不仅能耐心为您分析解答,还能提供预约挂号的服务,让你就诊更方便快捷,“百度100遍,不如咨询一次”。