穗华口腔专家指出,不良修复体的危害很多,为避免受到不良修复体的伤害,你需要根据自身情况作如下处理:

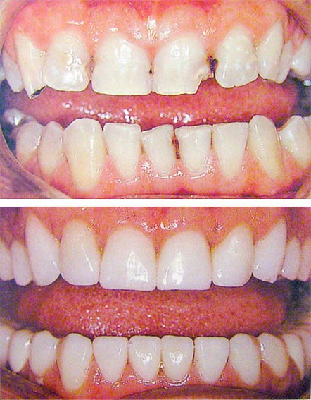
好的修复体让牙齿重获新生
1、有口腔缺损或缺失的患者千万不要因贪图一时方便或便宜而到不正规的医院或诊所做口腔修复,一定要到具有先进技术,高水平医师,完善服务的医院进行修复治疗。
2、而对于不确定是否戴用不良修复体,但是口腔出现各种炎症问题的,应及时和到正规医院检查确诊解决。
3、对于口腔中已戴用不良修复体的应早日拆除,以免伤害的在扩大。
穗华口腔是您爱牙的放心之选
穗华口腔医院是拥有人文底蕴的暨南大学附属口腔医院临床教学医院,是广东省卫生厅批准成立的口腔专科医院,是集口腔诊疗、教学和科研为一体的现代化口腔综合医院,承诺永远以顾客的牙齿健康为必要因素,确保给顾客高性价比的口腔治疗,如果您还有什么问题或需要帮助,可在线咨询或拨打热线:020-62266666,将您的问题告诉在线医生,专家不仅能耐心为您分析解答,还能提供预约挂号的服务,让你就诊更方便快捷,“百度100遍,不如咨询一次”。