种植牙在现今世界已经成为牙齿缺失修复的主要方式,给牙齿缺失患者带来了福音,替代真牙行使口腔功能,很多牙齿缺失患者都选择种植牙,那么种植牙需要多少钱,这时大家都想要了解的问题,下文请听听穗华口腔的专家来介绍一下吧。

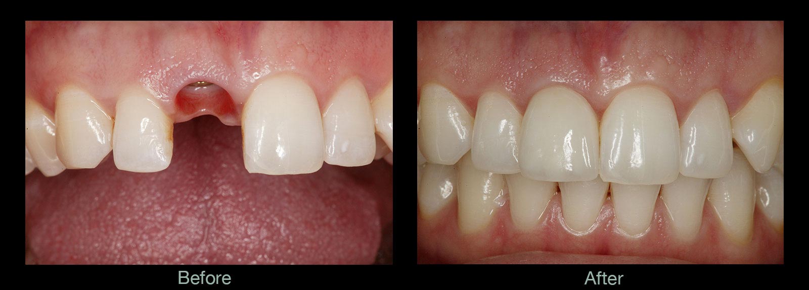
种植牙前后对比
穗华专家指出,种植牙的价格不+能一概而论,主要受到以下因素的影响:
1、患者个人情况:有的患者口腔状况良好,可以直接种牙,而有的患者还存在牙残根,口腔卫生又差,则需要拔牙治疗炎症,再种植,自然价格就会不大一样。
2、患者所在当地的物价水平:每个地区的经济水平都不一样,每个地方的收费标准不同,在一些物价水平的地方,种植牙的价格会相对高些,而物价水平低的地方,种植牙的价格相对而言会低些。
3、种植的材料:材料是影响补牙价格的另一主要因素,材料不同,其美观、性能、持久性都不一样,价格自然也会存在差异。
牙齿是伴随我们终身的重要器官,好的种植牙同样可以伴随我们终身。所以广大患者在接受牙齿种植的时候要选择专业的口腔医疗机构。才能保障牙齿种植的质量。
3D靶向种植牙技术,是暨南大学多位种植名家多年积累的义齿修复技术和经验,与一系列国际前沿齿科设备结合的产物,应用意大利NewTom曲面断层扫描CBCT技术、德国WIELAND CAD/CAM计算机辅助设计与制作技术、美国Ambulanc笑气镇静镇痛系统、丹麦3shape 3D打印技术及3shape TRIOS激光扫描重建技术等,从5个方面打造穗华种植牙“40年预期留存率”超过90%的“长寿基因”!
穗华口腔是您爱牙的放心之选
穗华口腔医院是拥有人文底蕴的暨南大学附属口腔医院临床教学医院,是广东省卫生厅批准成立的口腔专科医院,是集口腔诊疗、教学和科研为一体的现代化口腔综合医院,承诺永远以顾客的牙齿健康为必要因素,确保给顾客高性价比的口腔治疗,如果您还有什么问题或需要帮助,可在线咨询或拨打热线:020-62266666,将您的问题告诉在线医生,专家不仅能耐心为您分析解答,还能提供预约挂号的服务,让你就诊更方便快捷,“百度100遍,不如咨询一次”。