门牙缺失了非常影响形象,还会导致说话漏风,影响发音,种植牙是现代能够代替真牙的牙齿修复方式,有着其他牙齿修复方式不可媲美的优点,那么种植一颗门牙需要多少钱?下文请听听穗华口腔专家的介绍。

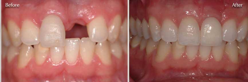
门牙缺失种植前后对比
穗华口腔专家介绍,影响成年人种植牙价格的因素有以下这些因素:
1、种植体种类
因为种植牙不同于别的,他有很多种植体,具体的价格要根据种植体的价格多少来确定,而选择种植体又要根据个人的情况,所以这是影响价格的因素之一。
2、所在地区
由于各地区的消费水平不同,医院的收费也就有差距。一般一线城市,经济发展很快,医院的医疗也相对要先进很多,那么,种植牙齿费用也比较高。而像一些小的地区等,价格则明显要低很多。所以,爱美者所在的地区不同,价格也是不同的。做完种植牙后,一定要做好种植牙的护理措施。种植牙的护理对种植牙的寿命是有一定的影响。
3、选择的医院和医生
种植牙需要很高的技术,不是随便一个医生就能做的,所以一些小医院根本做不了种植牙,即使他们能做,想必你也不敢做吧!
4、种植牙材料
随着种植牙齿技术的成熟,种植牙的材料也越来越多,有金属类、陶瓷类、复合材料等。顾客可根据自己的牙齿情况和经济条件选择适合自己的,材料不同,种植牙价格也就不同。
穗华口腔采用的是3D显微精准种植术,依托3D显微精准导航,通过三维扫描定位,能精确计算出缺牙患者的牙骨软组织情况自动避开血管和神经,以1微米的精度精准种植牙根,不破坏牙周围组织,不伤及邻牙,术后愈合快,比较适合怕疼的中老年人群。
穗华口腔是您爱牙的放心之选
穗华口腔医院是拥有人文底蕴的暨南大学附属口腔医院临床教学医院,是广东省卫生厅批准成立的口腔专科医院,是集口腔诊疗、教学和科研为一体的现代化口腔综合医院,承诺永远以顾客的牙齿健康为必要因素,确保给顾客高性价比的口腔治疗,如果您还有什么问题或需要帮助,可在线咨询或拨打热线:020-62266666,将您的问题告诉在线医生,专家不仅能耐心为您分析解答,还能提供预约挂号的服务,让你就诊更方便快捷,“百度100遍,不如咨询一次”。