很多人不知道自己的情况能不能矫牙,现在小编奉上不同年龄段的人矫牙攻略,供大家参考,希望对想进行牙齿矫正的患者有帮助,下文请看介绍。

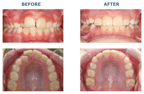
龅牙矫正前后对比
青少年
恒牙时期出现的畸形,一般11—18岁期间都是矫正的良好时机。而12岁左右是进行牙齿矫正的好年龄。此时患牙的颌面部仍处于生长发育的快速期,而牙齿矫正也需要利用颌面部生长发育的潜力,以确保牙齿移动及牙槽骨改建的效率达到好状态,从而取得完美的矫正效果。
儿童
不同原因引起的牙齿畸形,进行矫正的好年龄也不相同。从牙齿发育的阶段来看,乳牙期间,有些孩子习惯吮指、咬唇、吐舌、口呼吸等,对这些可能引起牙齿畸形的不良习惯,家长应在发现时及时纠正。如果出现乳牙“地包天”的情况,应在孩子乳牙长成之后,3岁左右开始治疗。?
成年人
人的牙齿医生中都会处于生理移动状态,所以即使是成年人,也可以进行牙齿的矫正。
牙齿矫正的6个步骤
1、口腔全面检查
全面检查牙患口腔的健康状况,如有病变,则需要先治疗好再进行矫正。
2、取模型
也称“咬牙印”,用于医生对牙齿错颌情况进行诊断和设计,以便在以后的治疗过程中作对比检查。
3、照相
治疗前给患者照面部和牙合的照片,留待日后与治疗结束时作对比。
4、X光检查
拍摄牙患头颅侧位片和全口曲面断层片,以了解牙根、颌骨等内部情况。
5、制定治疗计划
根据模型、照片和X光片,经过测量、计算、诊断错颌类型,制定出详细的治疗方案。
6、实施治疗
为牙患进行治疗,并根据具体情况进行周期性的矫正治疗
穗华口腔是您爱牙的放心之选
穗华口腔医院是拥有人文底蕴的暨南大学附属口腔医院临床教学医院,是广东省卫生厅批准成立的口腔专科医院,是集口腔诊疗、教学和科研为一体的现代化口腔综合医院,承诺永远以顾客的牙齿健康为必要因素,确保给顾客高性价比的口腔治疗,如果您还有什么问题或需要帮助,可在线咨询或拨打热线:020-62266666,将您的问题告诉在线医生,专家不仅能耐心为您分析解答,还能提供预约挂号的服务,让你就诊更方便快捷,“百度100遍,不如咨询一次”。