随着现代口腔医学的发展,牙齿矫正技术日益提高,矫正效果明显,很多牙齿畸形患者通过牙齿矫正改变自己的牙齿形态,让自己拥有一口健康美观的牙齿,那么牙齿矫正时如何注意饮食呢?下文请穗华口腔专家为大家介绍一下。

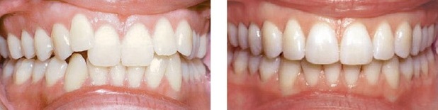
牙齿矫正前后对比
广州穗华口腔专家指出,口腔矫正期间,一般都会戴上矫治器,戴上矫治器后,要严格按照医生的嘱咐去做,积极与医生配合,这样才能保证治疗效果。矫治器是日后要取下的装置,矫治器就不可能和牙齿紧密到让我们吃东西时肆无忌惮,而且较细的弓丝也不可能承受过重的咬合力,所以口腔矫正时要特别注意饮食。
口腔矫正时应该少吃以下几种食物:
(1)过硬的食物,如冰块、坚果、硬饼干、甘蔗、硬糖果、膀蟹、龙虾壳等,也要戒掉咬笔和咬指甲等不良的习惯;
(2)太粘的食物,如牛奶糖、麦芽糖和一些饼干之类的食品,口香糖则应咀嚼无糖成分的;
(3)太大的食物,如苹果和梨等应切成小片,方可进食。
穗华口腔是您爱牙的放心之选
穗华口腔医院是拥有人文底蕴的暨南大学附属口腔医院临床教学医院,是广东省卫生厅批准成立的口腔专科医院,是集口腔诊疗、教学和科研为一体的现代化口腔综合医院,承诺永远以顾客的牙齿健康为必要因素,确保给顾客高性价比的口腔治疗,如果您还有什么问题或需要帮助,可在线咨询或拨打热线:020-62266666,将您的问题告诉在线医生,专家不仅能耐心为您分析解答,还能提供预约挂号的服务,让你就诊更方便快捷,“百度100遍,不如咨询一次”。