贴面是将牙齿唇侧(朝向外面的那一侧)表面磨除一层后用口腔专用材料重塑牙齿的外形和颜色。一般在牙齿中重度着色的情况下治疗使用合适。根据贴面使用的材料不同和修复方法不同,又分为树脂直接贴面、树脂间接贴面和瓷贴面。

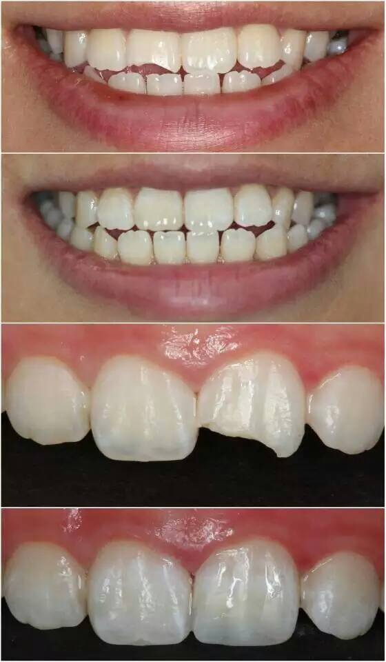
牙齿修复前后对比
1、树脂直接贴面:将高分子复合树脂粘固在磨除的牙齿表面上,细心地雕刻成理想的牙齿形态。由于树脂具有天然牙色,可以有效地遮盖住变色牙牙齿颜色,取得美观的牙齿颜色,通过牙科医生的反复雕刻,可以达到理想的牙齿形态。树脂贴面操作时间短,可以一次完成。树脂贴面因受温度等因素影响会发生树脂材料老化问题,贴面可能变脆、变色或脱落等问题,因而平常要精心保护,应少食浓茶、咖啡等易染色的食物。
2、瓷贴面修复方法:通过将牙齿唇侧表面均匀地磨除一层,做好模型,然后用口腔专用瓷性材料真空压缩烧制好以后,粘贴在牙齿上。瓷贴面的优点不少:可以重塑牙齿外形和色泽,精确地控制牙齿颜色指标,瓷贴面透光性强,因而美容效果非常好,看起来非常自然,可达到近乎完美的效果,耐磨性与牙齿相近;在可以达到自然美观的瓷修复技术里磨牙少,制作精良的瓷贴面对牙龈刺激非常小,颜色稳定,生物相容性好。瓷贴面对医生的水平要求高,操作步骤相对较多,价格相对稍高。
3、间接树脂贴面:是通过将牙齿唇侧表面均匀地磨除一层,做好牙模,然后用牙科专用含瓷性材料的树脂加工好以后,粘贴在牙齿上。硬质贴面具有硬度高、不变色、使用年限长、外形美、抗磨损和光洁度好等优点。
穗华口腔是您爱牙的放心之选
穗华口腔医院是拥有人文底蕴的暨南大学附属口腔医院临床教学医院,是广东省卫生厅批准成立的口腔专科医院,是集口腔诊疗、教学和科研为一体的现代化口腔综合医院,组建了由多位博士生导师和国内外知名专家构成的专业口腔专家队伍,承诺永远以顾客的牙齿健康为必要因素,确保给顾客高性价比的口腔治疗。
温馨提醒:牙齿问题是不容忽视的问题,对于牙齿问题,我们应该尽早进行治疗,以免给我们的生活造成不必要的麻烦和困扰。如果您还有什么问题或需要帮助,可在线咨询或拨打热线:020-62266666,将您的问题告诉在线医生,专家不仅能耐心为您分析解答,还能提供预约挂号的服务,让你就诊更方便快捷,“百度100遍,不如咨询一次”。