错颌畸形分三类,地包天属第三类,也是难治疗的一类。有的正畸医生,把地包天称为正畸中的急诊,即说明地包天应该早治。一般错颌畸形多在替牙列晚期和恒牙列早期治疗,"地包天"应发现即考虑治疗。地包天是一种十分严重的牙齿畸形,严重影响正常的工作、学习、交际,所以地包天要及时矫正。那么地包天矫正什么年龄好?下文请穗华口腔医院专家为大家介绍一下。

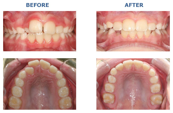
地包天矫正前后对比
穗华口腔专家介绍:地包天矫正的好年龄是从4岁开始治疗地包天,一直持续到18岁。乳牙期和替牙期个别牙轻度反咬合,可在医生指导下使用活动或功能矫治器进行治疗。多个牙反咬合或畸形较严重时,则需要正畸医生用固定矫正器进行矫治。
特别是在替牙期和恒牙早期(一般年龄在8-12岁),颌面部生长发育旺盛,此时若能得到及时矫正,可避免颌骨异常生长发育。部分患儿乳牙反咬合(地包天)矫正后,恒牙(12岁以后)萌出后可能还会发生咬合,须再次矫治,但此时的反咬合基本属于牙性反咬合,矫正起来就比较容易了。当然有些患者,如果没有得到及时矫正,成年后形成骨性反咬合,则可能要配合外科手术矫正。
穗华口腔是您爱牙的放心之选
穗华口腔医院是拥有人文底蕴的暨南大学附属口腔医院临床教学医院,是广东省卫生厅批准成立的口腔专科医院,是集口腔诊疗、教学和科研为一体的现代化口腔综合医院,组建了由多位博士生导师和国内外知名专家构成的专业口腔专家队伍,承诺永远以顾客的牙齿健康为必要因素,确保给顾客高性价比的口腔治疗。
温馨提醒:牙齿问题是不容忽视的问题,对于牙齿问题,我们应该尽早进行治疗,以免给我们的生活造成不必要的麻烦和困扰。如果您还有什么问题或需要帮助,可在线咨询或拨打热线:020-62266666,将您的问题告诉在线医生,专家不仅能耐心为您分析解答,还能提供预约挂号的服务,让你就诊更方便快捷,“百度100遍,不如咨询一次”。