种植牙并不是真的种上一棵或几棵与天然牙一样的牙齿,而是以种植材料埋植到牙槽骨内(种植体),再在其上做假牙的一种“假牙”修复方法。它是一种以植入骨组织内的下部结构为基础来支持、固位上部牙修复体的缺牙修复方式。主要包括下部的支持种植体和上部的牙修复体两部分。穗华口腔医院拥有ALL-ON-4种植修复技术,该技术效果怎么样?下文请穗华口腔医院专家为大家介绍一下。

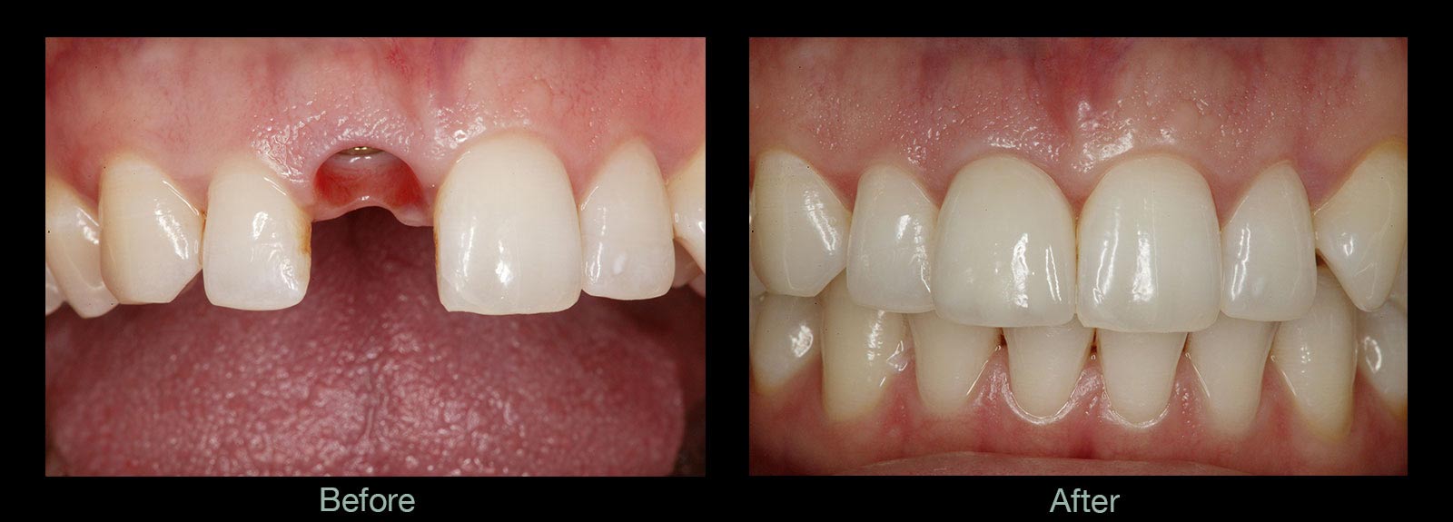
牙齿种植前后对比
费用节省一大半,实现全口、半口种植牙即刻种植、即刻负重、即刻使用。All-on-4全口种植牙依靠独立的牙根存在,非常坚固,对人体无危害,而且寿命可以长达几十年。
1、种牙颗数少:只需4颗种植体就能够恢复半口牙,减少多颗种植费用。
2、适用范围广:对于长期缺牙导致牙槽骨萎缩严重的患者照样可以顺利种牙。
3、坚固耐用:四颗种植体抓力性好,术后的牙齿坚固程度和健康真牙一样。
4、自然美观:色泽和外观和真牙一样,完全可以以假乱真。
穗华口腔是您爱牙的放心之选
穗华口腔医院是拥有人文底蕴的暨南大学附属口腔医院临床教学医院,是广东省卫生厅批准成立的口腔专科医院,是集口腔诊疗、教学和科研为一体的现代化口腔综合医院,组建了由多位博士生导师和国内外知名专家构成的专业口腔专家队伍,承诺永远以顾客的牙齿健康为必要因素,确保给顾客高性价比的口腔治疗。
温馨提醒:牙齿问题是不容忽视的问题,对于牙齿问题,我们应该尽早进行治疗,以免给我们的生活造成不必要的麻烦和困扰。如果您还有什么问题或需要帮助,可在线咨询或拨打热线:020-62266666,将您的问题告诉在线医生,专家不仅能耐心为您分析解答,还能提供预约挂号的服务,让你就诊更方便快捷,“百度100遍,不如咨询一次”。