种植牙按照植入时机分为延期种植牙和即刻种植牙,目前临床较普遍应用的是延期种植牙,它是拔牙创愈合3-6个月以后,在健康的牙槽嵴上植入种植体,然后经过3-6个月的骨融合期再进行义齿修复。穗华口腔医院拥有即刻种植修复技术,即刻种植牙是指拔牙后同期植入种植体,即在新鲜的拔牙创内立即植入种植体,大量实验和临床研究证实即刻种植和延期种植一样可以获得成功的骨结合。那么即刻种植修复技术效果怎么样?下文请穗华口腔医院专家为大家介绍一下。

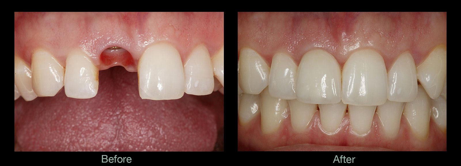
种植牙前后对比
1、高度运用数字化诊断,有利于为患者进行种牙的准确定位,这一定程度上使操作变得简单方便,也相应的提高了手术成功率。
2、全程微创实施,安全性高,痛苦少。
3、实施即拔即种,能即刻防止牙槽骨吸收、萎缩、病变的问题,即刻恢复口腔健康、面貌美观等。
4、即拔即种更有利于保护牙龈和龈乳头,使其能够健康、自然、美观,提高个人的整体形象。
5、即拔即种,有利于即刻恢复邻牙和对颌牙之间的支抗关系,高效防止牙齿发生病患,导致脱落等问题的发生。
6、即刻种植牙能很稳固的定位于牙床,有利于种植牙的坚固牢靠,看起来也能更形态逼真、自然美观。?
穗华口腔是您爱牙的放心之选
穗华口腔医院是拥有人文底蕴的暨南大学附属口腔医院临床教学医院,是广东省卫生厅批准成立的口腔专科医院,是集口腔诊疗、教学和科研为一体的现代化口腔综合医院,组建了由多位博士生导师和国内外知名专家构成的专业口腔专家队伍,承诺永远以顾客的牙齿健康为必要因素,确保给顾客高性价比的口腔治疗。
温馨提醒:牙齿问题是不容忽视的问题,对于牙齿问题,我们应该尽早进行治疗,以免给我们的生活造成不必要的麻烦和困扰。如果您还有什么问题或需要帮助,可在线咨询或拨打热线:020-62266666,将您的问题告诉在线医生,专家不仅能耐心为您分析解答,还能提供预约挂号的服务,让你就诊更方便快捷,“百度100遍,不如咨询一次”。