人类拥有两副牙齿:乳牙与恒牙,而牙医为我们带来了第三副牙齿─—人工种植牙,由于种植牙技术愈来愈进步,重新拥有一口美丽整齐的牙齿,不再是梦想。种植牙拥有其他牙齿修复方式不可媲美的优点,可以代替真牙行使口腔咀嚼的功能,穗华口腔医院拥有3D导航模拟种植牙,这个技术有什么好处?下文请穗华口腔医院专家为大家介绍一下。

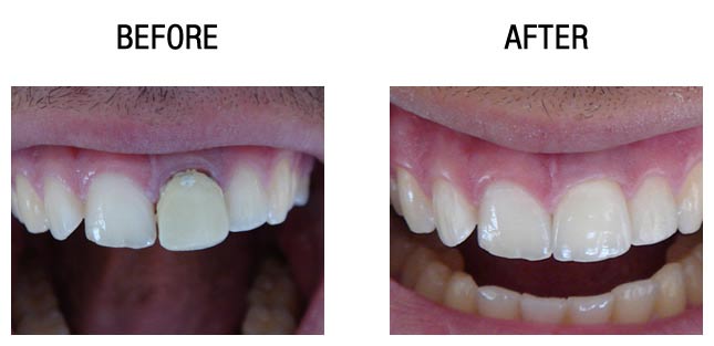
种植牙前后对比
1、精准:采用意大利NewTom锥形束CBCT,可精确提供关于植入区骨(高度、厚度、宽度、骨密度),确保种植的位置、角度、深度与模拟效果分毫不差,精确建立咬合关系。
2、快速:种植手术整个周期由传统的6个月缩短为2个月左右,如果配合德国威兰德CAD/CAM“即刻种植,即刻负载”技术,顾客种完牙的当天就可以正常饮食。
3、微创:丹麦3shape3D设计系统,进行种植方案完美模拟,并打印出种植导板,医生在术前设计就能轻易地避开重要神经和血管,无需手术切口便可精准植入种植体,出血很少,把种植风险和损伤大大降低。
穗华口腔是您爱牙的放心之选
穗华口腔医院是拥有人文底蕴的暨南大学附属口腔医院临床教学医院,是广东省卫生厅批准成立的口腔专科医院,是集口腔诊疗、教学和科研为一体的现代化口腔综合医院,组建了由多位博士生导师和国内外知名专家构成的专业口腔专家队伍,承诺永远以顾客的牙齿健康为必要因素,确保给顾客高性价比的口腔治疗。
温馨提醒:牙齿问题是不容忽视的问题,对于牙齿问题,我们应该尽早进行治疗,以免给我们的生活造成不必要的麻烦和困扰。如果您还有什么问题或需要帮助,可在线咨询或拨打热线:020-62266666,将您的问题告诉在线医生,专家不仅能耐心为您分析解答,还能提供预约挂号的服务,让你就诊更方便快捷,“百度100遍,不如咨询一次”。