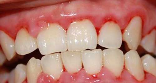
牙周炎是侵犯牙龈和牙周组织的慢性炎症,是一种破坏性疾病,其主要特征为牙周袋的形成及袋壁的炎症,牙槽骨吸收和牙齿逐渐松动,它是导致成年人牙齿丧失的主要原因。本病多因为菌斑,牙石,食物嵌塞,不良修复体,咬创伤等引起,牙龈发炎肿胀,同时使菌斑堆积加重,并由龈上向龈下扩延。那么慢性牙周炎治疗方法是什么呢?下文为大家揭晓慢性牙周炎治疗方法。

慢性牙周炎
慢性牙周炎治疗方法。牙周基础治疗。
这适用于患牙周病的每位患者。对于出现急性龈脓肿、急性牙周脓肿、急性坏死性龈炎等急症的患者,应根据情况加以处理。拔除无望保留的牙齿,以保持较长时期的牙周健康。进行洁治、刮治、根面平整等以清除龈上、龈下的菌斑,牙石及坏死牙骨质。必要时进行松动牙暂时性固定、调合、药物辅助治疗。
这一阶段的任务是消除局部致病因素,加强患者意识。因此对患者进行口腔卫生指导,纠正患者不良生活习惯等十分重要。应使患者了解牙周炎病因及建立良好的口腔卫生习惯的重要性,教会患者清除菌斑的方法,如正确刷牙方法及正确使用牙线、牙签、间隙刷等菌斑清除工具。基础治疗后要对疗效进行再评估。
慢性牙周炎治疗方法。手术治疗
基础治疗后2-3个月对牙周状况再评估,若某些牙位的探诊深度仍在5mm以上且探诊出血,或根分叉病变I-II度,或牙龈及牙槽骨形态不良,则需要进行手术治疗。牙周手术不但可在直视下进行彻底的根面平整,清除感染组织,还可以纠正不良的牙龈外形、不良牙槽骨形态、根分叉病变,并可进行牙周组织的再生性治疗。
慢性牙周炎治疗方法。维护期治疗
牙周炎患者经过治疗后,仍应终生自我维护牙周健康,养成良好的口腔卫生习惯;定期进行专业维护,以防止牙周炎的复发。此为牙周治疗的维护期。
德国Vector微创牙周治疗
微创安全:不损害牙齿和软组织,非切开治疗方式,快速无痛。
多效联合:集牙周治疗、牙齿清洁抛光于一体,并可时阻止牙龈退缩,减小牙周袋深度。
轻柔无痛:通过空穴效应及微流效应,不需要切开牙龈组织进行开放刮治。
确保卫生:六个超声波圆盘,彻底轻柔冲洗牙菌牙石,确保口腔卫生保健。
适用面广:既适用于各种牙周病治疗,也可用于敏感性种植体周围炎。
选择正规医院,挑选好医师,给自己的牙周治疗。穗华口腔医院是拥有人文底蕴的暨南大学附属口腔医院临床教学医院,是广东省卫生厅批准成立的口腔专科医院,是集口腔诊疗、教学和科研为一体的现代化口腔综合医院,是您看牙的放心信赖之选!
由于篇幅有限,本文就为大家介绍这么多,关于慢性牙周炎治疗方法。如果您还有疑问或想了解更多,可点击在线咨询,届时与我院专家一对一沟通交流。