牙齿不齐是常见的一种口腔畸形,表现为牙齿歪斜不正,刷牙不容易清洁干净,久而久之,容易引发口腔疾病如蛀牙、牙周炎等。牙齿不齐不但影响外貌美观,而且为口腔健康埋下隐患,要及时矫正它。牙齿不齐矫正不是一步到位的事情,还要注意矫正的事项。那么牙齿不齐矫正注意事项是什么呢?下文为大家揭晓牙齿不齐矫正注意事项。

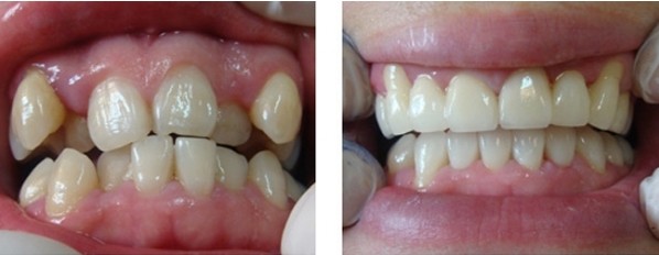
牙齿不齐矫正前后对比
牙齿不齐矫正注意事项。牙齿不齐矫正要坚持复诊
由于矫正持续轻力的作用,矫正中多数患者会出现不同程度的不适,一般为酸胀感,持续3-4天,无不良后果。但是如果疼痛持续一周以上甚至伴有牙齿松动,需要及早就诊纠正如牙龈炎、矫治力过大等原因。医学`教育网搜集整理
牙齿不齐矫正注意事项牙齿不齐矫正要选择适当时机
虽然牙齿矫正没有年龄限制。不过一般而言,乳牙替换后的青春发育期是矫正的时期。对于如上述有骨骼问题的患者,需要早期治疗以充分利用青春迸发期对骨骼实施生长改良治疗,一般治疗下巴前突“地包天”的时间为8-10岁或在乳牙完成期即进行,下巴后缩者则为11-12岁。对于成年正畸对象,由于其牙齿生长潜力有限以及常见牙周问题,因此成人矫正不同于少年。需要根据个人情况,在专业医师指导下拟订一种既达到美观又保证咀嚼功能的综合设计方案。
穗华口腔 华南口腔正畸界的技术领导者
暨南大学附属口腔医院穗华口腔正畸科,是我院重点临床专科,由我国着名口腔医学专家吕培琨教授于1981年创建,是华南地区数字化技术口腔正畸诊断与治疗的领导者,水平一直处于国内领先地位。
科室先后引进了美国、德国、日本、丹麦等先进设备,医师运用计算机测量、辅助分析及先进的矫治技术,评估不同患者的牙齿与面颌部情况,量身设计个性化的口腔正畸治疗方案,科学的治疗方案,更使正畸时间缩短至传统正畸技术时间的1/3。其中,个性化舌侧矫治技术、成人高难度病例矫治已成为中心的特色及强项,每年诊治省内外大量转诊正畸疑难病例,是华南地区处理疑难病例及失败后再处理病例的重点专科。
由于篇幅有限,本文就为大家介绍这么多,关于牙齿不齐矫正注意事项。如果您还有疑问或想了解更多,可点击在线咨询,届时与我院专家一对一沟通交流。