牙错位给牙错位患者带来了一系列的问题:不能开怀大笑、咀嚼食物不充分、清洁不容易等,这些影响了人际交往,引起口腔疾病,影响身体健康,牙错位需要矫正它,那么牙错位矫正的时期是什么时候呢?下文为大家揭晓。

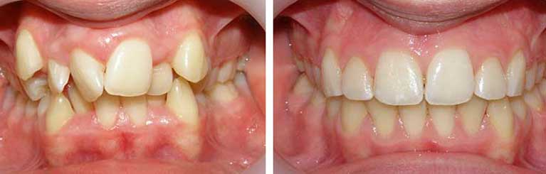
牙错位矫正前后对比
牙错位矫正的时期
1、首先就是在乳牙期,三至五岁的时候,替牙期,六至十二岁的时候.一般的错颌畸形如个别牙齿错位不要立即矫治,应当继续观察和纠正口腔不良习惯,因为在这个时期,牙颌正处于调整时期,随着不良习惯的纠正,错颌畸形常可以部分自行纠正,有些家长不能判断孩子的牙齿是否能自行纠正,家长就应该带孩子到口腔医院进行检查,让医生系统检查牙齿错位,看看是否需要矫正.
2、其次就是一般认为男孩在十二至十四岁,女孩在十一至十三岁进行牙齿矫正比较好.但是具体问题还需要具体分析,家长应该定期带孩子到正规的医院进行检查,确保牙齿错位可以得到正确的正畸方案.
选择一家好的医院,挑选好的医师,给自己的牙齿矫正。穗华口腔医院是拥有人文底蕴的暨南大学附属口腔医院临床教学医院,是广东省卫生厅批准成立的口腔专科医院,是集口腔诊疗、教学和科研为一体的现代化口腔综合医院,是您看牙的放心信赖之选!如果您还有其他疑问或需要帮助,还可以点击在线咨询,或者拔打免费电话:020-62266666。百度100遍,不如咨询1次。