牙齿错位的现象在生活中很常见,严重影响了颜面美观,造成牙齿错位的原因有哪些?要想预防牙齿错位,必须知道它发生的原因,下文为大家介绍牙齿错位的原因。

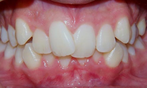
牙齿错位
造成牙齿错位的原因
1、后天性因素:婴儿出生后所在的环境因素成为后天因素,例如口腔不良习惯也是造成牙齿不齐常见后天因素。儿童时期的因而如果长期患有慢性鼻炎,患儿就会用张嘴呼吸来替代用鼻子呼吸,常此以往,会产生较明显的牙齿错位。
2、遗传因素:牙齿不齐的发生与遗传基因有关系。牙齿不齐可以由父母遗传给子女,也可能在几代之间间隔遗传。遗传的同时也会发生变异,产生新的口腔畸形症状。
3、先天性母体环境因素:如果母亲在怀孕期间患病,可能会影响胎儿在子宫中的位置,临产时对胎儿胎儿容易外伤,导致牙齿不齐或错位。
穗华口腔专家指出:牙齿错位的情况多出现在幼儿时期,那时口腔正处于发育时期,所以矫正难度并不高,但是广大家长要理性为孩子选择矫正的方法。穗华口腔的专家建议未成年人选择自锁金属托槽矫正技术。因为它节省时间,有些疗程可缩短6个月以上,而且降低拔牙率较低,外观也美观。很适合学生群体。
选择一家好的医院,挑选好的医师,给自己的牙齿矫正。穗华口腔医院是拥有人文底蕴的暨南大学附属口腔医院临床教学医院,是广东省卫生厅批准成立的口腔专科医院,是集口腔诊疗、教学和科研为一体的现代化口腔综合医院,是您看牙的放心信赖之选!如果您还有其他疑问或需要帮助,还可以点击在线咨询,或者拔打免费电话:020-62266666。百度100遍,不如咨询1次。