拥有一口健康整齐的牙齿是每个人都想拥有的,然而往往不是事事都如人意,牙齿畸形的情况总会出现,比如牙齿错位,那么牙错位怎么会出现?下文为大家介绍一下。

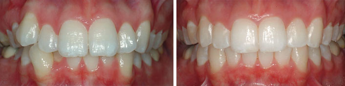
牙错位矫正前后对比
广州穗华口腔专家指出:导致牙齿错位的原因有很多方面,其绝大多数都是口腔不良习惯所致,主要包括有咬手指习惯、遗传因素、吐舌习惯、用口呼吸习惯等。牙错位的危害是非常大的,而且还会引发更多牙齿疾病,所以,对于牙齿错位必须及时进行矫治。
牙错位出现的原因
1、遗传因素:导致牙列拥挤的主要就是由遗传因素所导致的,在当发生个别牙的拥挤错位或是多颗牙齿出现拥挤时,都能够在亲代和子代上有相同的表现。这种遗传表现是客观存在的,可是对于其明确的遗传机制尚还不是十分清楚。
2、张口呼吸习惯:长期性如此,还可造成上下牙咬合异常、腭盖高拱、上颌牙前牙前突或排列不齐,其甚至还会表现为:开唇露齿、牙龈肥厚增生、牙龈出血。
3、不良的咬下唇习惯:绝大多数人常常还会造成上前牙唇向倾斜而出现牙间间隙,当在下前牙舌侧倾斜发生拥挤时,则就会表现为开唇露齿、上前牙前突和下前牙后缩等;而咬上唇习惯比较容易会形成下颌前突,地包天等畸形。
4、不良的吐舌习惯:通常一般在这种情况下,很容易会导致前牙部分开牙合,且经常喜欢舔舌还会造成使前牙向唇侧倾斜,并出现牙齿间隙,致使前牙开牙合与下颌前突畸形。
选择一家好的医院,挑选好的医师,给自己的牙齿矫正。穗华口腔医院是拥有人文底蕴的暨南大学附属口腔医院临床教学医院,是广东省卫生厅批准成立的口腔专科医院,是集口腔诊疗、教学和科研为一体的现代化口腔综合医院,是您看牙的放心信赖之选!如果您还有其他疑问或需要帮助,还可以点击在线咨询,或者拔打免费电话:020-62266666。百度100遍,不如咨询1次。