近些年来,牙齿美容修复由于其突出的优势受到广大爱美者的追棒,相比传统的口腔正畸,牙齿美容修复具有不拔牙、矫治时间短的特点。那么,牙齿美容修复效果如何?下文请看专家介绍。

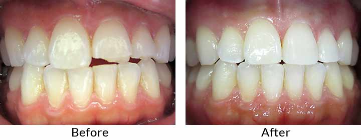
牙齿美容修复前后对比
广州穗华口腔专家介绍,牙齿美容修复在不损伤牙齿、牙龈的前提下根据牙槽骨的形态对牙齿做修整。在做牙齿美容修复时首先适度调整歪斜的牙齿,精细打磨凸出部位1-2毫米;然后在原牙外包以整齐洁白的牙齿美容修复,保护原牙,一口整齐亮白的牙齿,就大功告成了,且不着痕迹。
牙齿美容修复的六大特色:
1、自然持久
德国VITA比色技术,以26阶牙色层次化类比,为你调配适合牙色,更采用三维数字成型,使之呈现持久天然光泽。
2、不伤原牙
牙齿美容修复在不损伤牙齿、牙龈的前提下根据牙槽骨的形态对牙齿做修整,仅对不整齐的凸出部位进行精细打磨,无需拨牙。
3、坚固耐磨
选用国际材料,令修复后牙齿坚固耐磨,牙齿美容修复与原牙紧密贴合,有效保护原牙,自然美观。
4、无不良反应
无以往存在的牙龈红肿、黑线等现象。
5、终生美齿
如能按医嘱进行保养,可相伴终生。
6、高效无痛
全程无痛,高效快速,只需7天,到院两次,即可完成。
温馨提示:广州穗华口腔 的牙齿美容修复技术适用于暴牙、虎牙、老鼠牙(个小牙)、地包天、前牙拥挤、前牙稀疏、牙列不齐、牙齿缺损、烤瓷失败、错过矫正黄金期的成年人以及重度四环素牙患者等。