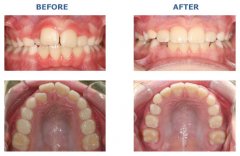
如果牙齿出现了拥挤,一定要及时纠正,拥挤时间久了不但会牙疼,还会导致其...
【详细】
牙齿不齐是牙齿畸形中比较常见的一种,并且更具造成的危害分为不同的程度,...
【详细】
地包天分为前牙反牙合、部分合并后牙近中错牙合几种表现方式。地包天会影响...
【详细】
牙齿反合,从正面可以看到明显的下颌突出情况,部分情况为两侧不对称,且伴...
【详细】
从黄种人的情况来看大概50%的矫正病人是需要拔牙的,而且一般是拔掉四颗牙,...
【详细】
氟斑牙是指牙齿发育的阶段,由于长期饮用高氟水源导致对牙釉质的不可逆损害...
【详细】
唇红齿白是美丽一个重要标准,然而生活总有种种原因让人们的牙齿染色,发黄...
【详细】
牙齿 冷光美白技术 是现在一种比较先进、成熟的牙齿美白技术,对牙齿和身体...
【详细】
拥有灿烂的笑容也是一个非常重要的资本,因此牙齿一定要洁白漂亮!然而现实...
【详细】
迷人笑容少不了洁白的牙齿作为点缀,针对牙齿美白,方法还是有很多的,冷光...
【详细】