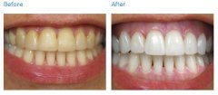
为了能够让自己拥有一口洁白牙齿,人们做冷光美白是不错的选择,这种方法的...
【详细】
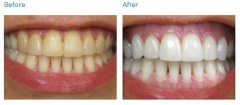
拥有一口健康美白的牙齿,是人们所希望的。然而生活中的很多人由于经常的吸...
【详细】
11月30日至12月1日,由全国会计专业学位研究生(MPAcc)教育指导委员会主办、暨...
【详细】
洗牙也称牙齿洁治,包括超声波洁牙、喷砂和抛光。医生用超声波洁治器震脱去...
【详细】
洗牙是一种良好的牙齿保健手段,也是预防牙周病的重要措施。通过洗牙可以有...
【详细】
洗牙能够帮助人们清洁牙齿上附着的菌斑、结石及沉积在牙齿表面的色素,这对...
【详细】
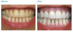
牙齿的健康也彰显着我们身体的健康,目前越来越多的人重视牙齿的健康,通过...
【详细】
随着人们健康意识的提高,牙齿保健也成为了越来越多人的关注点。不少人都会...
【详细】
洗牙,就是清洗牙齿,牙科行内话叫洁牙,既是清洁,也是治疗,预防。也就是...
【详细】
11月29日,由国务院侨办主办、暨南大学承办的2015海外文化社团中华才艺(书画...
【详细】