第八届志愿者文化节开幕 700余名师生齐跑为公益

11月26日,暨南大学第八届志愿者文化节开幕式在南校区运动场举行。学校党委...【详细】
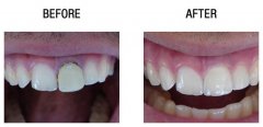
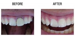
种牙哪里好?

生活中,因为外伤或者口腔疾病导致牙齿脱落的人并不在少数,也许我们会觉得...【详细】
种植牙有什么危害?

随着口腔医学技术的逐渐提高,越来越多的人开始了解上种植牙的好处。可是有...【详细】
种一颗牙要多少钱?

种植牙在人们眼里非常神秘而价格高昂,但事实真是如此吗?其实,种植牙性能...【详细】
广州种植牙价格表

种植牙,一直以性能优良、外观逼真、使用时间长的形象出现在公众面前,然而...【详细】
种植牙可以用一辈子吗?

对于许多牙齿缺失,有意通过种植牙修复牙齿的顾客来说,种植牙使用寿命是一...【详细】
假牙有哪些种类?

关于假牙,也许大家都有所印象。但可能不是人人都知道,假牙也分为很多种类...【详细】
广州种牙一颗多少钱?

因为种种缘故,我们身边并不少见牙齿缺失的现象。但现在,我们可以不再发愁...【详细】
种植牙的危害有哪些?

随着口腔医学技术的逐渐提高,我们都曾听闻过种植牙的种种好处。可是,不少...【详细】
种植牙有什么弊处?

随着口腔医学技术的不断发展,越来越多的顾客选择了种植牙修复。那么种植牙...【详细】
版权:广州穗华口腔医院
备案号:粤ICP备15046903号
医疗广告审查证明文号:粤(A)广(2024)第255号