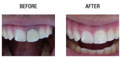
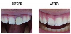
种植牙危害有哪些?

随着现代口腔医学技术的不断提高,种植牙已经能完美修复牙齿缺失的问题了,...【详细】
种植牙需要多长时间?

种植牙拥有近似真牙的外观和性能,使用寿命也长达几十年,许多牙缺失顾客都...【详细】
种植牙过程是怎么样的?

人到老年,往往面临许多难以启齿的烦恼。其中,全口牙缺失就是一种多见于中...【详细】
种植牙后要注意什么事项?

凭借着坚固耐用,可媲美真牙的外观,种植牙成为了越来越多缺牙顾客的优选修...【详细】
装一个假牙要多少钱?

因为种种缘故,在生活中,牙齿缺失的情况并不少见。幸好,现在我们可以通过...【详细】
牙齿缺损怎么修复好?

在有的人眼中看来,牙齿缺损没什么大不了,没必要到医院做麻烦的修复手术,...【详细】
门牙掉了一块如何好?

门牙因为其特殊的生长位置,对我们的作用也是十分的巨大;不仅可以辅助我们...【详细】
牙齿缺损有哪些修复方法?

洁白靓丽完整的牙齿不仅可以带给我们一个完美的形象,同时也可以减少很多不...【详细】
门牙缺损怎么修复好?

如果我们不小心把门牙给摔断了怎么好,这是很多门牙缺损患者都需要面临的一...【详细】
牙齿表面脱落如何好?

我们常见的牙齿表面脱落是牙体的掉落,这种情况大多由于外力或牙齿裂开等原...【详细】
版权:广州穗华口腔医院
备案号:粤ICP备15046903号
医疗广告审查证明文号:粤(A)广(2024)第255号