得了牙周病怎么治?

老百姓普遍知道蛀牙的危害,却不知道牙周病才是牙齿健康的最大杀手。临床中...【详细】
怎么预防牙髓病呢?

牙髓病给人们带来了烦恼,令人们的饮食与生活都很不方便,所以对于生活中多...【详细】
牙齿不整齐如何好?

现代人越来越注重牙齿的整齐美观,随着现代口腔医疗技术的发展,牙齿矫正技...【详细】
叶惠全校董一行参观访问南校区

10月12日下午,暨南大学校董、中惠熙元集团董事长叶惠全一行莅临南校区参观...【详细】
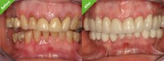
牙齿不齐原因多,矫正治疗需及时

在当今世界,一副整齐的牙齿,漂亮的面型不仅有利于牙周健康的维护,而且是...【详细】
牙列不齐有什么影响?

牙齿不齐是儿童在生长发育过程中,由先天的遗传因素或后天的环境因素导致的...【详细】
美容修复牙齿畸形

看看各大娱乐头条上哪些笑靥如花的明星大腕,无一例外都有一口整齐洁白的牙...【详细】
广州牙齿不齐矫正需要多少钱?

您身边的亲朋好友是否正在受牙齿不齐 的困扰,牙齿不齐使患者脸部畸形,还...【详细】
美丽笑容由齿绽放

传统意义上,牙齿是我们重要的咀嚼器官,对于我们的口腔健康和食物消化有着...【详细】
牙齿不齐有哪些矫正方法?

牙齿不齐是指儿童在生长发育过程中,由先天的遗传因素或后天的环境因素,如...【详细】
版权:广州穗华口腔医院
备案号:粤ICP备15046903号
医疗广告审查证明文号:粤(A)广(2024)第255号