广州做根管治疗的价格是多少?

当患有牙髓炎或根尖周炎时,做根管治疗有非常好的疗效,并且能够保留住自身...【详细】
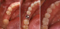
多颗牙缺失种植需要多少钱?

随着现代口腔医疗技术的发展,种植牙已经成为牙齿缺失的很好的修复方式,具...【详细】
多颗牙缺失怎么修复?

多颗牙缺失不可忽视,牙周病等原因引起的牙齿松动甚至脱落等情况常可导致多...【详细】
加强党性修养 推进“三严三实”

9月25日下午,暨南大学学习论坛第36期暨三严三实教育主题辅导报告会在曾宪梓...【详细】
3D靶向种植牙技术详解

3D靶向种植牙技术是众多种植技术中的一种,可以完美解决缺牙遗憾,种植出来...【详细】
种植牙哪里好?

种植牙是目前修复牙齿缺失很有效的方式,具有其他牙齿修复方式不可媲美的优...【详细】
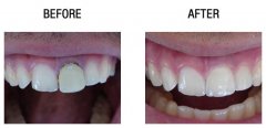
种植牙修复前牙缺失的优点

牙齿健康不但关乎美观,而且关乎我们的身体健康,牙齿健康不可忽视,前牙缺...【详细】
穗华口腔种植牙怎么样?

种植牙拥有其他牙齿修复方式不可媲美的优点,成为解决牙齿缺失患者困扰的福...【详细】
老年人牙齿缺失好的修复方法

暨大穗华口腔专家指出:牙齿缺失不仅会影响着咀嚼功能,导致胃病,对身体造...【详细】
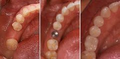
种植牙带给多颗牙缺失患者福音

多颗牙缺失给我们的生活带来了很大的麻烦,特别是对于一些上了年纪的老人,...【详细】
版权:广州穗华口腔医院
备案号:粤ICP备15046903号
医疗广告审查证明文号:粤(A)广(2024)第255号