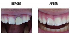
种植牙具有其他牙齿修复方式不可媲美的优点,效果非常理想,有不少朋友会问...
【详细】
种植牙较之其他牙齿修复方式有不可媲美的优点,具有不伤害邻牙以及良好的固...
【详细】
种植牙是目前很好的牙齿缺失修复方式,能够有效改善牙齿形态,越来越多的人...
【详细】
今年过年,回家看到外婆掉了两颗牙齿,吃饭非常不方便,咀嚼不力,不能吃香...
【详细】
人随着年纪增加,牙齿也随之变得很脆弱,牙齿出现松动然后脱落,老年人本来...
【详细】
长期的牙齿缺失,牙床发生萎缩、吸收,导致牙床的高度降低,传统戴假牙戴不...
【详细】
9月17日,暨南大学2015级研究生新生入学教育暨科学道德与学风建设宣讲大会在...
【详细】
南方日报讯(记者/谢嘉玮 通讯员/黄钎乘)2015年9月,各高校又迎来了一年一度...
【详细】
牙齿拥挤是很常见的一种牙齿畸形,影响健康和美观,其中,前牙拥挤比后牙拥...
【详细】
牙列拥挤是典型的牙齿畸形,不仅使我们的形象大大减分,严重的甚至会造成口...
【详细】