皓齿美白让您牙齿不再黄

一口黄黄的牙齿让人感到很困扰,不仅难看,还被人认为不注意口腔卫生清洁,...【详细】
使黄牙美白的法宝—穗华口腔推出全瓷冠

穗华口腔推出的全瓷美牙冠采用仿生全瓷材料,并融合牙齿美学修复理念和技术...【详细】
黄牙美白修复

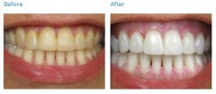
姓名:lindy 矫牙时间:2015年7月 年龄:27岁 职业:高层管理 症状:黄牙 Lindy法...【详细】
黄牙美白价格是多少?

虽然我们每天都会刷牙,并且正常的刷牙次数是两次,尽管如此,牙齿还是会发...【详细】
发黄的牙齿怎么样美白?

爱美是人的本性,牙齿发黄很不雅观,使爱美人士备受困扰。如果牙齿只是微微...【详细】
不要让黄牙破坏您的整体美

有些人衣服很漂亮、脸蛋很漂亮、化了妆更漂亮, 但是一张嘴就被人看见了一...【详细】
穗华皓齿美白 让美容更美

牙齿美白,不仅仅能够让你笑起来更美,同时也是品味的体现,因为各种的原因...【详细】
暨南大学新面孔之“小葡萄”的“新生之夜”

和三五好友一起,看各大社团表演,逛暨南大学印象主题区,吹着微风,吃着糕...【详细】
赖仁发做客广东广播电视台《壹健康》栏目

摘要:在2015年9月20日第27个全国爱牙日的来临之际,广东广播电视台新闻频道《...【详细】
皓齿美白30分钟,黄牙黑牙一扫光

俗话说得好貌美齿为先,牙白七分俏,拥有一口美白的牙齿是每个爱美人士的愿...【详细】
版权:广州穗华口腔医院
备案号:粤ICP备15046903号
医疗广告审查证明文号:粤(A)广(2024)第255号