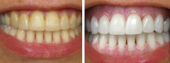
色素牙可以通过美白恢复牙齿的洁白动人,色素牙在美白后,还要通过护理,才...
【详细】
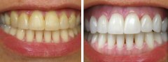
在现代,因为喝茶形成茶渍牙不在少数,茶渍牙影响形象美观,令笑容难以启齿...
【详细】
喝茶已经成为现代生活的一种品味,你是否在喝完茶后没有及时清洁牙齿,是否...
【详细】
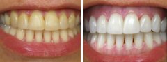
穗华口腔专家指出:牙齿色素沉淀在生活中很常见,针对这一情况,牙齿美白技...
【详细】
穗华口腔专家指出:牙齿色素沉淀在生活中很常见,针对这一情况,牙齿美白技...
【详细】
有人会遇到这种情况,天天刷牙,牙齿还是好黄,好像刷不干净那样。一口洁白...
【详细】
明眸皓齿,自古便是对美人的描绘,但是在现实生活中,很多人经常被黄牙困扰...
【详细】
品茶品生活,喝茶已经是我们一种良好的生活习惯。茶里含有一种生物碱,在酸...
【详细】
随着现代牙科医疗技术的发展,茶渍牙美白有很多方法,如洗牙、喷砂美白、药...
【详细】
茶渍牙在美白后,还要注意后期的保养,才能维持美白的效果,那么,茶渍牙美...
【详细】