对于烤瓷牙失败修复,对技术要求非常高,广州穗华口腔专家建议患者需要谨慎...
【详细】
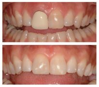
很多爱牙人士在做过烤瓷牙修复后,出现牙龈发炎红肿、烤瓷牙于牙龈处出现黑...
【详细】
烤瓷牙是传统的一种非常理想的修复体,能够在短时间内快速修复各类畸形牙齿...
【详细】
早几年前烤瓷牙修复是一种流行的修复牙齿的方式,它是运用合金制成金属基底...
【详细】
自8月29日晚中国男子接力队创造新的历史成绩后,全世界的目光都投向了培养了...
【详细】
11月15日韩国著名口腔正畸专家李度勳坐诊穗华 韩国极速牙齿矫正创始人李度勳...
【详细】
近日,由暨南大学穗华口腔医院 、广州市天河区文明委、广州市文明办、天河...
【详细】
美国3MLava全瓷牙为极佳的系统,不用改变修磨与印模的方式;与陶瓷烧附金属修...
【详细】
美国3Mlava全瓷牙具有绝佳的优势,成为拥有健康牙列年轻人群的一个很有吸引力...
【详细】
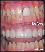
很多爱美人士在烤瓷牙修复不久后,牙龈出现红肿等不良现象,经常在一些重要...
【详细】