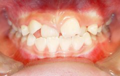
牙列拥挤矫正效果好不好?

牙列拥挤给生活带来了很多危害和不便,不但影响口腔美观,还会影响咀嚼功能...【详细】
牙列拥挤矫正注意事项

牙列拥挤通过矫正可以恢复牙齿的自然美观,然而牙列拥挤矫正有一些注意事项...【详细】
牙错位矫正医院哪家好?

牙齿矫正是解决牙齿畸形的最理想方法,通过医学的方法,用矫正器使牙齿进行...【详细】
牙错位应该怎么办?

牙错位给生活带来了诸多不便,想笑不敢笑,咀嚼食物不充分,刷牙不干净,进...【详细】
牙错位矫正会痛吗?

牙齿错不但影响美观,而且影响正常的牙齿咬合关系,对身体健康带来危害,需...【详细】
牙错位矫正术后如何护理?

牙错位矫正能够改变牙齿错位的局面,重新排整牙齿,重现牙齿的自然美观,然...【详细】
牙错位矫正多少钱?

牙错位矫正可以改变牙齿的外形,让牙齿变得整齐美观,关于牙错位矫正价格方...【详细】
牙错位矫正有副作用吗?

牙错位是一种常见的牙齿畸形,牙齿矫正可以帮助我们改变牙错位的状况,重现...【详细】
牙错位矫正安全吗?

牙齿矫正是矫正牙错位的有效方法,是通过各种矫正装置来排列整齐牙齿,从而...【详细】
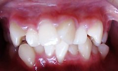
牙错位矫正效果怎么样?

牙错位令牙齿特别难看,想笑又不敢笑,担心露出难看的牙齿,因此让人觉得很...【详细】
版权:广州穗华口腔医院
备案号:粤ICP备15046903号
医疗广告审查证明文号:粤(A)广(2024)第255号