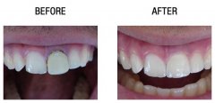
牙齿缺失了,到底是种牙好还是镶牙好?顾客朋友们经常有这种疑问,为了解决...
【详细】
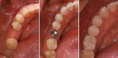
种植牙具有其他牙齿修复方式不可媲美的优点,可以代替真牙行使牙齿功能,受...
【详细】
种植牙有着无可媲美的优点,可以代替真牙行使口腔功能,受到广大牙齿缺失患...
【详细】
种植牙具有其他牙齿修复方式不可媲美的优点,可以代替真牙行使牙齿功能,受...
【详细】
种植牙在现今世界已经成为牙齿缺失修复的主要方式,给牙齿缺失患者带来了福...
【详细】
种植牙在解决牙齿缺失问题上,有着显着的效果,解决了牙齿缺失患者缺牙的问...
【详细】
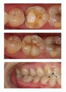
修复技术牙齿缺损而不是缺失,不能种植牙,那么可以使用牙齿修复方法补回缺...
【详细】
10月24日晚,百年暨南文化素质教育讲堂第239期暨第二届东荡子诗歌颁奖典礼在...
【详细】
种植牙具有其他牙齿修复方式不可媲美的优势,已经可以取代真牙行使牙齿咀嚼...
【详细】
牙齿缺失了,到底是种牙好还是镶牙好?顾客朋友们经常有这种疑问,为了解决...
【详细】