牙齿关系到我们的饮食健康,进而影响到我们的身体健康,还会影响到我们的形...
【详细】
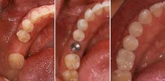
现代种植牙技术已经越来越成熟,接受住了时间的考验,受到牙科医师的推崇和...
【详细】
种植牙具有其他牙齿修复不能媲美的优点,美观大方、不伤邻牙、独立稳固,因...
【详细】
种植牙具有无法媲美的优越性,可替代真牙行使牙齿功能,那么种植牙价格是多...
【详细】
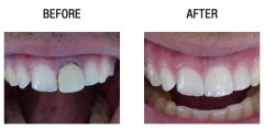
我们的牙齿一般不会掉那么多,有时因为不小心或是意外,造成单颗牙缺失,有...
【详细】
很多人不注意保护牙齿健康,没有树立正确的口腔保健意识,会造成牙齿缺失,...
【详细】
种植牙被人称为人类的第三副牙齿,具有无可媲美的优点,可以替代真牙行使牙...
【详细】
在生活中,由于不注重口腔健康保健,造成牙齿缺失的人群不在少数,那么牙齿...
【详细】
10月22日,首届青运会田径比赛在福州市海峡奥体中心举行。暨南大学经济学院...
【详细】
口腔出现症状或想要美容牙齿,很多人都选择口腔修复体,然而口腔修复引发的...
【详细】