暨南大学穗华口腔专家指出,不良修复体的危害很多,为避免受到不良修复体的...
【详细】
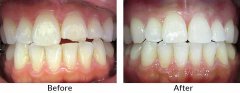
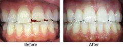
随着医疗美容技术的发展与进步,牙齿矫正术也取得了巨大的发展与进步,那么...
【详细】
牙齿美容修复对于爱美人士来说是很熟悉的了,这是目前很受欢迎的牙齿美容方...
【详细】
很多人认为牙齿矫正一般要一两年才才能实现,但是近代随着医疗美容技术的发...
【详细】
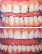
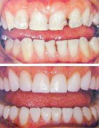
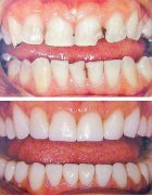
牙列不齐是目前比较常见的牙齿畸形之一,牙列不齐不但会给人们的生活造成很...
【详细】
牙齿不齐对人影响很大,而且长期的牙齿不齐容易形成龋齿、牙周病,而使牙早...
【详细】
牙齿长得歪斜不齐是非常普遍的现象,非常有损形象的,应该及时的进行牙齿矫...
【详细】
随着人们生活水平的提高,对于自身的美丽的要求也是越来越高,牙齿整齐美容...
【详细】
2015 年 10 月 24 日上午 9 点 30 分,南方都市报联合暨南大学穗华口腔医院举办首...
【详细】
传说中,种植牙可以陪人一辈子,为何自己的种植牙才用了两年就不行呢?种植...
【详细】