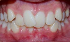
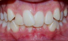
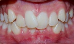
什么是牙齿错位?

牙齿错位在我们生活中很常见,是一种牙齿畸形,它的危害不可忽视,直接影响...【详细】
牙错位的危害有多少?

牙齿错位在生活中很常见,很多朋友都不已为然,殊不知牙齿错的危害很大,那...【详细】
你知道牙错位的危害有哪些?

牙错位的危害不可忽略,它给我们的生活带来了很大的困扰,对我们的身心造成...【详细】
牙错位矫正的佳时期

牙错位给牙错位患者带来了一系列的问题:不能开怀大笑、咀嚼食物不充分、清...【详细】
牙错位对人体有什么害处?

牙错位不仅影响颜面美观,对人体健康也产生不可忽视的影响,那么牙错位对人...【详细】
牙错位的害处表现在哪里?

很多人认为牙错位不碍事,认为没有影响到饮食,所以无关紧要,然而事实没有...【详细】
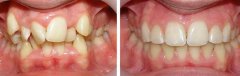
牙错位怎么矫正

一口健康整齐的牙齿是一个人气质的体现,让人绽放自信的笑容,拥有一口健康...【详细】
3D靶向种植牙直播手术在穗华口腔医院圆满落

2015年8月23日,由羊城晚报、老人报、腾讯大粤网联合主办的3D靶向种植牙手术在...【详细】
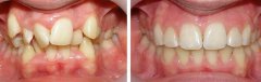
牙齿不齐矫正有哪些方法?

牙齿不齐通过牙齿矫正恢复牙齿自然美观的形态,现代医学的发展,牙齿矫正方...【详细】
牙齿不齐矫正的佳年龄

现代医学已经使得牙齿不齐矫正没有了年龄限制,无论是什么年龄阶层,都可以...【详细】
版权:广州穗华口腔医院
备案号:粤ICP备15046903号
医疗广告审查证明文号:粤(A)广(2024)第255号