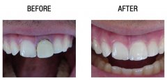
种植牙是现在牙齿非常好的修复技术之一,主要材料是种植体和牙冠两个部分组...
【详细】
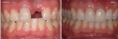
牙齿缺失影响人的正常生活,吃东西憋屈不说,还破坏口腔健康,进而影响全身...
【详细】
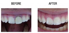
人类拥有两副牙齿:乳牙与恒牙,而牙医为我们带来了第三副牙齿─人工种植牙...
【详细】
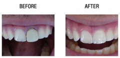
牙齿在人类身体结构当中占据着非常重要的位置,它除了发挥食物消化的第一道...
【详细】
种植牙按照植入时机分为延期种植牙和即刻种植牙,目前临床较普遍应用的是延...
【详细】
当我们的牙齿缺失之后,会严重的影响到一个人的美观的问题,单颗牙齿缺失,...
【详细】
种植牙并不是真的种上一棵或几棵与天然牙一样的牙齿,而是以种植材料埋植到...
【详细】
色素牙是因饮食、烟茶咖啡等附着于牙齿表面,黄或黑色,有的也是由于小时候...
【详细】
烟渍牙是一种牙齿色素沉淀的问题,是长期抽烟所导致的烟渍沉淀,牙齿上的烟...
【详细】
现代都市抽烟是常见不过的了,很多男士有些女士都有抽烟的习惯,造成牙齿发...
【详细】